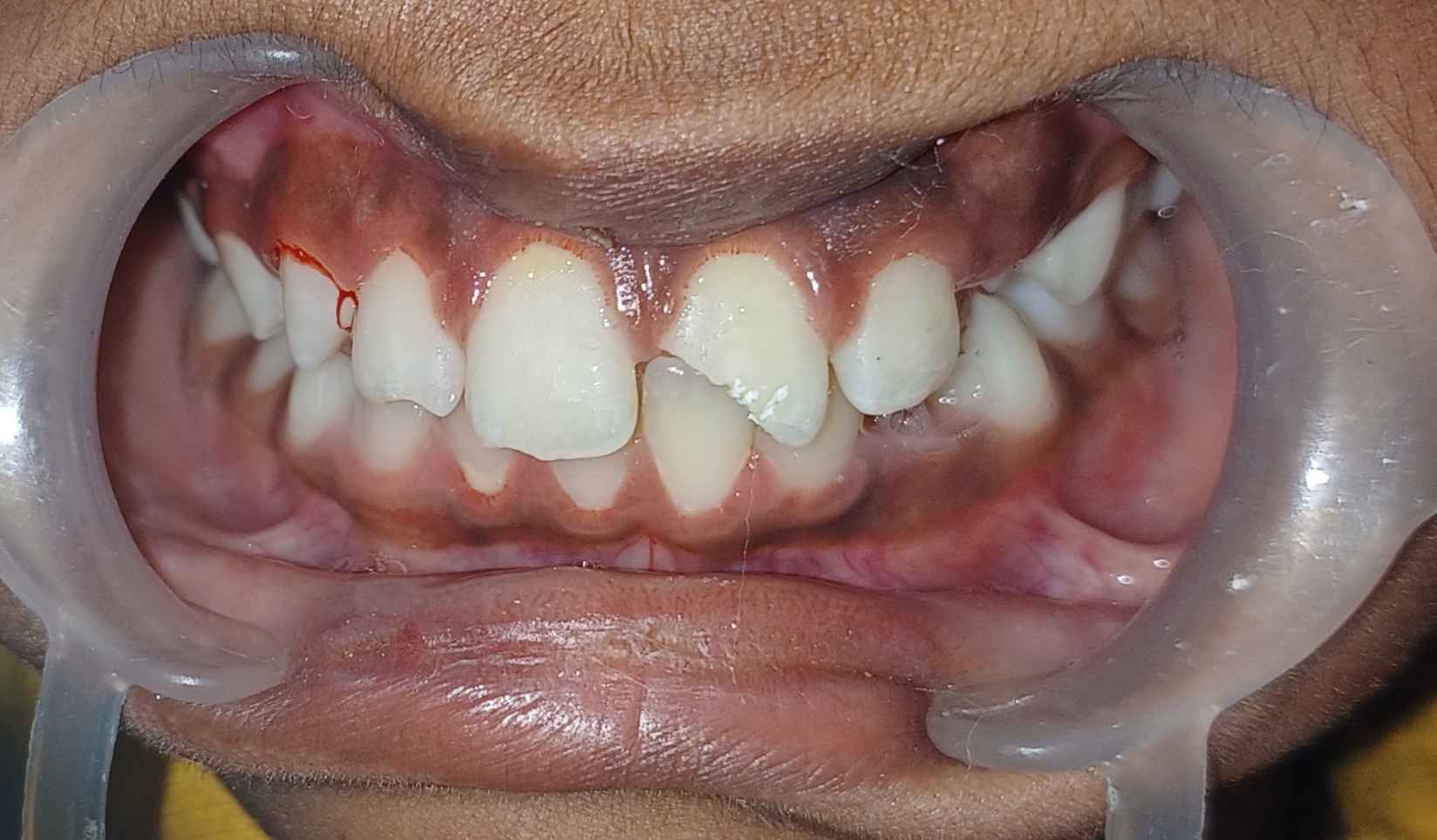
Tooth Displaced