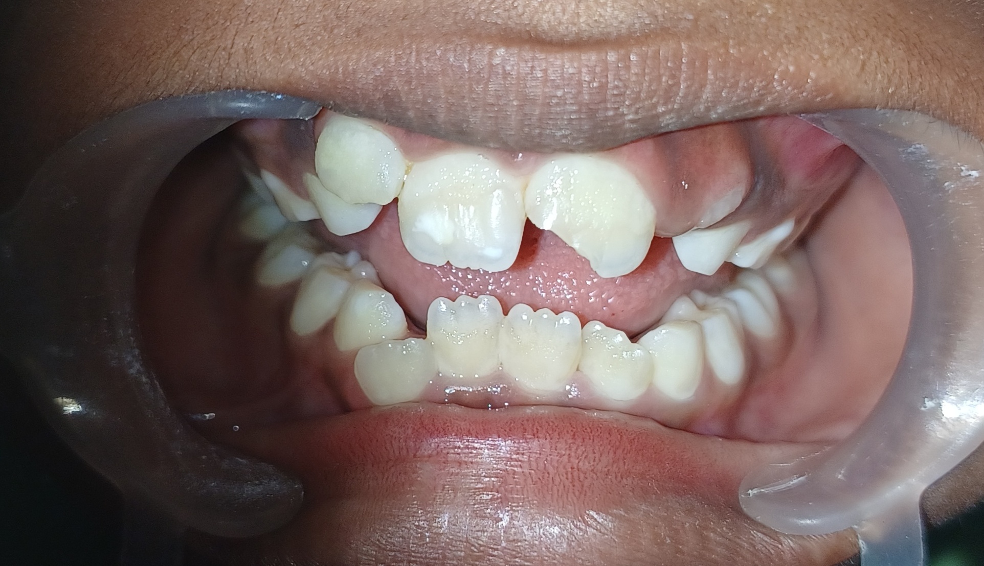
A chipped tooth is when a small layer/part of the visible tooth surface has broken off
A cracked tooth refers to a crack or fracture line on the tooth
Disclaimer: If the kid is concious, oriented, and has no head/brain injury and the trauma is limited to the oral cavity, with no vomiting or bleeding nose-then carryout following first aid instructions